ホワイトニング
最新!チタンホワイトニング
歯の黄ばみ変色気になります。
そんなお悩みを解決する歯の
ホワイトニング!

当院のホワイトニングは、ホワイトニングの本場アメリカで専門学を学んだ、日本で有数の経験を持つDr.が、
安価でキレイになる!その人その人に合わせたホワイトニングをご提案いたします。
ホワイトニングとは?
ホワイトニングは歯を白くする一番お手軽な方法で、
年齢、コーヒーやタバコ、食生活、
遺伝、神経治療、外傷
などで変色した歯を、安全で強力な漂白剤で脱色します。
歯は毎日毎日少しづつ着色し、気が付いた時には意外と変色してしまっています。
特に「コーヒー」や「タバコ」が好きな方は要注意です。
「歯のクリーニング」は歯の表面の汚れを落としコーティングするのに対し、
「歯のホワイトニング」は歯にしみ込んだ色素を漂白する方法です。
「歯を白くしたい!」という方にオススメします。
歯を削る必要もなく、1回~数回の治療で白さを手にいれることができ、
歯に優しい・短時間・何回もできる・
価格が安い
それがホワイトニングです。
ホワイトニングの種類
最新LEDホワイトニング

レーザーホワイトニングや
ハロゲンホワイトニングに代わる
最新版ホワイトニングです。
一度の来院で、短時間(約1~2時間)の
うちにコスメ感覚で歯の色を
白くできます。
わずか15分×1~3回の照射で、
美しい歯が手に入り、
最大20歯のホワイトニングを
行うことができます。
こんな方におすすめ
- 短期間で歯を白くしたい方
- 結婚式など大切な日を間近に控えている方
レーザーやハロゲンを使ったホワイトニングに比べ熱が出にくく(痛みはほとんどありません)、効果が高い人気の治療法です。

①ブライト・ホワイト
(上前歯6本 15分 トライアル)
歯のホワイトニングが初めての方におススメ
一番お手軽にホワイトニングを始められるメニューです。
②クリスタル・ホワイト
(上下20本【45分照射】)
本格的なMAXパワーの歯のホワイトニングです。
費用も抑えて本格的に歯を白くしたい方におススメです。
歯の変色ホワイトニング
神経を取ってしまった歯は、黒ずんでしまうことがあります。
これは歯の内部から色がついてしまっているため、通常のホワイトニングでは白くできません。
そういった歯には、内部に効果の高いホワイトニング剤を閉じ込めて着色の原因を分解し、歯を内側から白くすることができます。
この治療は、2~3回の通院で、痛みを伴わずに治療を完了できます。
※高度な技術が求められる治療で、施術者の技術によっては全く効果の得られず、痛みも伴ってしまう場合があります。
ホームホワイトニング
自由な時間でお好きな時に
LEDホワイトニング後の着色防止に
ご自身の歯ならびにあったホワイトニング用のマウスピースを、オーダーメイドで制作します。
アメリカ直輸入の専用ホワイトニング剤をマウスピースに流し入れ歯に装着することで、ご自宅でお好きな時間にホワイトニングをできます。
一日30分 最長2週間まで連続使用可能

こんな方におすすめ
- 歯科医院に通うのが困難な方
- 毎日コツコツと続けることができる方
- 専用のマウスピースを長時間つけても平気な方
回数を重ねるほど、自分の希望どおりの白さになります(白くする限界と個人差あり) 。
まずは2週間ほどお使い頂くことをオススメします。
ホームホワイトニング中は、効果が持続するように歯みがきなどの日頃のお手入れが大切です。
ホワイトニングの料金表
治療の流れ
-
- 1.カウンセリング
-
ホワイトニングの特徴や治療法について詳しくご説明します。
歯の白さや明るさなど、患者様のご要望を伺って最適な治療法を決めます。
-
- 2.口の中の検査
-
クリーニング ホワイトニングができる状態であるかどうか、歯の状態や歯の色を細かくチェックします。
歯の表面に汚れや歯石、歯垢などがある場合には、事前に歯のクリーニングを行います。
-
- 3.歯肉や唇の保護(LEDホワイトニング)
-
歯ぐきや唇に薬剤が付かないように、歯肉保護剤を塗ります。
その後、ホワイトニング剤を歯に塗布します。
-
- 4.LED照射(LEDホワイトニング)
- 約15分×1~3月回のLED照射を行い、ホワイトニング効果を高めます。
-
- 5.ホワイトニング終了
-
照射が終わった後、歯を保護するためにフッ素を塗布します。
最後に歯の色を測り、歯の白さを確認していただきます。
※歯の変色ホワイトニングは、最大3回歯の内部のホワイトニング剤を交換します。
※ホームホワイトニングは1. 2. の後、歯の型取りを行います。その後2週間ほどで出来上がったマウスピースをお渡しします。
デュアルホワイトニングのススメ!
LEDホワイトニングと
ホームホワイトニングの併用
LEDホワイトニングとホームホワイトニングの2つの方法を組み合わせてホワイトニングすることで、効果的に白い歯を得ることができます。
当院では、貴方にあった歯のホワイトニング方法を提案します。
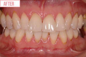
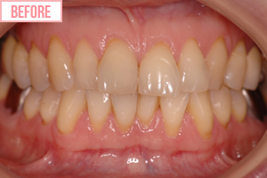
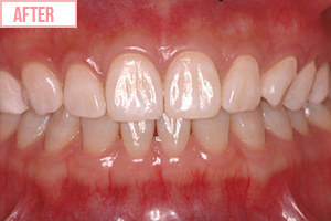
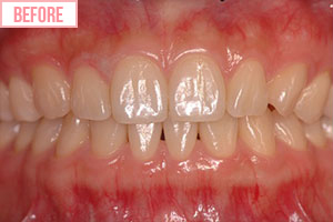
症例写真
【45分照射】
¥27,104(税込)
長い年月をかけて歯に沈着してしまった色素を、歯を削る必要もなく、1回~数回の短時間治療で薬剤により漂白し、本来の白さを取り戻します。
ホワイトニングのリスク
- 一時的に歯が弱くなる為、ホワイトニングの施術後、歯がしみたり痛みを感じたりする事がある
- 効果が永続的ではない
- 施術直後から48時間は着色しやすい飲食物を避ける
