歯に貼るセラミック(ラミネートベニア)
歯に貼るセラミック(ラミネートベニア)とは?
歯に貼るセラミック(ラミネートベニア)とは、歯の表面を0.5mmほど削り、そこに、付け爪のような薄いチップを貼り付ける治療方法です。
歯の形が悪い、歯の色が悪い、すきっ歯を治したいなどのご要望にお応えできます。
歯を削る量が少なく、治療回数も少なくてすみ、麻酔が不要で痛みもありません。
歯に貼るセラミック(ラミネートベニア)の特徴
- ホワイトニングではできない強く変色した歯でも白くできる
- 歯を削る量が少なく、痛みも無く、短期間で治療が済む
- セラミック製なので、摩耗しにくく変色の心配がない
- 歯の色を自由に選べ、天然歯のような自然な仕上がりになる
こんな方におすすめ
- 短時間に歯並びをきれいにしたい方(おしゃれ感覚)
- 手軽に歯並びをきれいにしたい方(忙しい方)
- あまり大きく歯を削りたくない方
歯に貼るセラミック治療(ラミネートベニア)の料金表
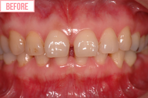
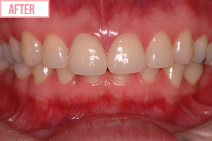
症例写真
ラミネートベニア1歯 ¥43,780(税込)
前歯の隙間がありました。歯を薄く削り、その上にセラミック歯のチップを貼り付けることで、歯の形を整えました。
ラミネートベニアのリスク
- 削る量はとても少ないが、健康な歯の表面を削る必要がある
- その処置によって歯の寿命が短くなる可能性がある
- 色の改善に限界がある
- セラミックが薄い為、歯ぎしりや噛み合わせなどによって極まれに割れてしまうことがある
- 歯の向きは変えられない
治療の流れ
-
- 1日目
-
-
1.歯の表面を削る
歯の表面のエナメル質部分だけを、0.5~0.7mmほど薄く削ります。
痛みを全くともなわずに処置できます。 -
2.型を取る
削った歯の型を取り、チップ上のセラミック歯を制作します。
-
-
- 2日目
-
-
3.接着
強力な接着剤で、歯に貼るセラミックと歯の表面を接着します。
光を当てることで接着剤が固まり、しっかりと固定されます。 -
4.研磨と適合
歯の表面を磨き、周囲の健康な歯とほとんど見分けがつかないように調整します。
その後、噛み合わせを調整して完了です。
-

