セラミック・強化プラスチックのつめ物
奥歯がむし歯になった場合、保険診療ではむし歯部分を削って銀歯で埋めることが多いですが、
奥歯が銀歯では見た目がよくありません。
それを強化プラスチックやセラミックでつめ替える治療が可能です。
欠損部が小さい場合は強化プラスチックの充てんを、中程度の場合はセラミックのつめ物の装着を行います。
セラミックのつめ物
セラミックで作った
白いつめ物!
セラミックのつめ物は、歯の欠損部が中程度の場合に、セラミックで作った白いつめ物をつめる治療法です。
セラミックは天然歯と見分けがつかないほどの色合いや質感を持っているので、より美しく自然な白い歯に仕上がります。
また、天然の歯に近い硬さなので、噛み合わせる歯を傷つけることもありません。
金属を使用しないため、金属アレルギーの方でも安心して使用できます。
セラミックのつめ物の特徴
- 透明感のある自然な白い歯を再現できる
- 変色せず、長い期間、透明感を保てる
- 天然の歯に近い硬さ
- 歯としっかり適合し、むし歯ができにくい
こんな方におすすめ
- 中程度の大きさの金属のつめ物を自然な色で修復したい方
- 金属アレルギーが心配な方
治療の流れ
-
- 1日目
-
金属の除去~むし歯の除去
金属のつめ物を外してむし歯を除去した後、歯の穴(欠損部)の形をきれいに整えます。
-
- 2日目
-
セラミックインレーの作成
歯を型取りし、その歯型をもとにセラミック製のインレーを作ります。
-
- 3日目
-
セラミックインレーの装着
歯の欠損部分にセラミックインレーを装着し、治療終了となります。
強化プラスチック充てん
プラスチックに耐摩耗性を強化する
材質を混合
強化プラスチックは、歯科治療において頻繁に使用されている材料で、耐磨耗性を高めるためにプラスチックと無機物を混合したものです。
つめ物だけではなく、欠けた歯の形を修復したり、すきっ歯の治療に用いられるなど、様々な用途で使用されています。
以前は耐久性に欠けていたり、変色しやすいなどの欠点もありましたが、近年ではこれらの問題は材料や技術の進歩とともに大きく改善され、強化プラスチックの利用範囲はますます広がっています。
強化プラスチックの特徴
- 白いつめ物が比較的安い料金でできる
- 色の種類も豊富で自然な色が再現できる
- 天然歯を削る量が少なく1回の治療で済む
こんな方におすすめ
- 小さい金属のつめ物を白く修復したい方
- できるだけ費用を抑えたい方
- 短期間で治療したい方
治療の流れ
-
- 1.金属の除去~むし歯の除去
- 金属のつめ物を外してむし歯を除去した後、歯の穴(欠損部)の形をきれいに整えます。
-
- 2.強化プラスチックの充てん
- 歯の穴に強化プラスチックを流し込みます。紫外線を当てることによって、硬化します。
つめ物の料金表
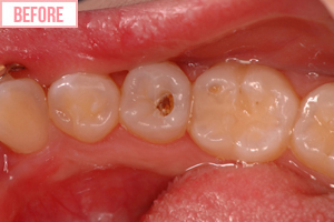
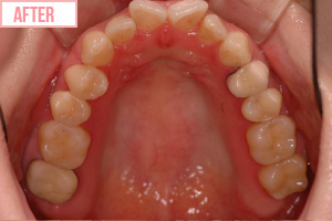
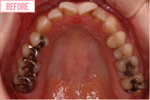
症例写真
(IPS e-maxセラミック使用)
1歯 ¥24,860(税込)
¥11,000(税込)
むし歯で削った部分をセラミックで詰め替えたり、強化プラスチックを充てんしたりする治療法です。
インレーはセラミックで作った白いつめ物を詰める治療法、強化プラスチック充てんは削った穴に歯のような質感の合成樹脂※を流し込み硬化させる治療法です。
※耐磨耗性を高めるために合成樹脂と無機物を混合した、歯のような質感の白いプラスチック
どちらも金属を使用しないので金属アレルギーの方も安心して治療できます。
インレーはセラミックを使用するので、透明感のある自然な色が再現でき、変色せず天然歯に近い硬さとなります。銀歯に比べると歯との接着もしっかりしているため隙間が少なく、二次むし歯を予防できる利点があります。
強化プラスチック充てんは処置が一日で終わり、色が歯と同じなので目立たず、歯を削る量も少なくすることができるなど様々な利点があります。
インレー治療のリスク
- むし歯の治療により歯を削ったり神経を抜いたりする場合がある
- その処置によって歯の寿命が短くなる可能性がある
- 歯ぎしりや食いしばりなど、強い力が加わると削れたり欠けたりする可能性がある
強化プラスチック充てん治療のリスク
- 時間の経過により変色する可能性がある
- その処置によって歯の寿命が短くなる可能性がある
- むし歯の治療により歯を削ったり神経を抜いたりする場合がある
- 歯ぎしりや食いしばりなど、強い力が加わると削れたり欠けたりする可能性がある

